·

SUAT



科研成果汇编
2025年4月-6月
成果目录
1.转录因子GAF协同多个结合位点调控染色质开放性选择启动子转录,进而决定飞蝗群居行为
2.基于增强型分形自编码器的高鲁棒性特征选择方法
3.使用字符串最小化的分桶算法为大规模短序列集合构建编辑距离图
4.系统梳理了合成生物学策略指导下的植物营养强化思路,并以维生素B1生物强化为核心案例,提出具有前瞻性的下一代作物营养提升路径
5.该研究揭示了动脉粥样硬化过程中,天冬酰胺内肽酶激活并剪切载脂蛋白A1加速斑块形成的作用机制
6.证实了C/EBPβ/AEP通路通过作用于NAMPT影响NAD+合成从而介导生理性衰老和寿命缩短表型,AEP基因的敲除、表达NAMPT剪切位点突变体或AEP的小分子抑制剂#11a则能有效延缓Thy 1-C/EBPβ转基因小鼠的早衰表型
7.首次系统解析蝗虫群聚信息素 4VA 的合成途径,鉴定关键酶并开发小分子抑制剂,实现对蝗虫群聚行为的精准调控,为害虫绿色防控开辟新路径
8.靶向病理Tau片段N368的免疫疗法在小鼠模型中不仅清除Tau缠结,还同步改善Aβ沉积、激活神经营养信号并逆转认知损害,为AD精准治疗提供了全新方向
9.揭示了m6A甲基转移酶复合物的核心支架蛋白VIRMA通过调控核糖体生成影响大脑发育的机制
10.针对资源受限的物联网设备中常用的SM2数字签名算法(SM2-DSA),创新性地提出了一种基于格理论的高效故障注入攻击方法
成果一
来源:细胞与基因技术研究院
1. 成果名称
GAF-dependent Chromatin Plasticity Determines Promoter Usage to Mediate Locust Gregarious Behavior.
2. 成果简介
转录因子GAF协同多个结合位点调控染色质开放性选择启动子转录,进而决定飞蝗群居行为。
3. 研究团队及具体成果介绍
2025年4月7日,深圳理工大学合成生物学院康乐院士团队在国际著名期刊EMBO Journal上发表题为“GAF-dependent Chromatin Plasticity Determines Promoter Usage to Mediate Locust Gregarious Behavior”的研究论文,从染色质结构性揭示了表型可塑性的表观遗传学调控机制。该工作借助DNase-seq组学技术揭示了飞蝗多型转变过程中的染色质开放性变化,发现转录因子GAGA factor(GAF)可以快速响应外界信号,通过启动子区多个功能差异的DNA结合位点协同作用,重塑了染色质开放性,并驱动了转录启动的过程。
飞蝗由于其具在群居型和散居型之间响应密度变化的互变能力,成为研究昆虫表型可塑性的重要模式系统。康乐院士团队在长期研究中解析出中枢神经系统多巴胺合成通路对于飞蝗行为可塑性的核心调控地位。但是,多巴胺合成过程是如何快速且灵活地实现飞蝗响应种群密度信号的快速转变尚不清楚。该研究通过系列实验发现调控多巴胺合成通路核心苯丙氨酸羟化酶基因henna的转录过程的重要环节,其中发现型相关的关键转录因子GAF快速调控染色质开放性,进而调控henna可变启动子转录起始的机制。研究进一步揭示即使是同一启动子内的多个GAF结合位点,其介导功能时仍各有分工,分别表现出增强转录与促进染色质开放。GAF与多个结合位点协同作用这一转录前的表观遗传调控过程为飞蝗快速启动高种群密度下的群体一致行为奠定了基础。该研究中提出一种新的昆虫行为短期适应的表观遗传调控机制,展示“转录因子通过多位点协作-染色质开放性调控-启动核心基因转录”模式,说明染色质动态在基因表达调控中的复杂性和精细性。这一研究为认识昆虫快速适应环境信号的动态变化机制研究提供了新的视角,并为开发新的害虫控制策略提出理论依据。深圳理工大学康乐院士为论文的通讯作者,中国科学院动物研究所博士研究生李潇和姜枫研究员为该研究的共同第一作者。
4.原文链接

5.成果示意图


成果二
来源:细胞与基因技术研究院
1. 成果名称
RFAE: A high-robust feature selector based on fractal autoencoder.
2. 成果简介
基于增强型分形自编码器的高鲁棒性特征选择方法。
3. 研究团队及具体成果介绍
在高维数据分析领域,特征选择(Feature Selection)作为一项关键的预处理技术,其核心目标是从原始特征空间中甄别并提取出最具信息量或对特定下游任务(如分类、回归或聚类)性能贡献最为显著的特征子集。这一过程对于降低模型复杂度、提升泛化能力、减少过拟合风险以及增强模型可解释性均具有至关重要的理论与实践意义。近年来,深度学习凭借其强大的非线性表征学习能力,在特征选择领域展现出显著的潜力并取得了一系列重要进展。然而它们在选择特征的稳定性、特征选择层感受野以及样本信息利用等方面仍面临挑战。特别地,现有的一些方法(如分形自编码器FAE)可能存在选择特征数量少于预期、子网络感受野较小以及未能有效利用监督信息等问题。为此,本研究提出了一种基于增强型分形自编码器的高鲁棒性特征选择方法(Robust Fractal Autoencoder, RFAE),如图1所示,通过引入权重指数化、动态权重窗口和可选的分类模块三大关键改进,有效提升了特征选择的稳定性和适应性。
在推广应用方面,RFAE作为一种高效的特征选择核心算法,可以被集成开发为专业的特征选择软件模块或工具包。这将为用户提供从数据预处理到特征子集识别的自动化流程,支持多种下游任务(如分类、回归、聚类等)。该方法不仅适用于本地部署,也易于扩展至云计算平台,以处理大规模高维数据集,提供灵活高效的计算资源。此外,通过提供API接口,RFAE可以方便地集成到现有的数据分析和机器学习流水线中,提升整个流程的效率和性能。
另外,RFAE在多个领域具有重要的应用前景。例如,在生物信息学中,它可以用于基因表达数据分析、关键生物标志物发现,从而助力疾病诊断和药物研发。在图像处理、金融数据分析、文本挖掘等领域,通过筛选出最相关的特征,RFAE能够帮助构建更简洁、更高效、更易于解释的模型,降低计算成本,提升预测精度。该技术不仅为解决高维数据分析难题提供了有力工具,也为推动机器学习和人工智能在鲁棒性、可解释性方面的研究向更深层次发展贡献力量。
4.原文链接

5.成果示意图

RFAE特征选择算法架构

成果三
计算机科学与控制工程学院
1. 成果名称
Construction of edit-distance graphs for large sets of short reads through minimizer-bucketing.
2. 成果简介
使用字符串最小化的分桶算法为大规模短序列集合构建编辑距离图。
3. 研究团队及具体成果介绍
深圳理工大学计算机科学与控制工程学院李金艳教授和澳大利亚悉尼科技大学博士研究生平朋要,合作研究了一个使用字符串最小化器分桶技术为大规模短读序列数据集构建基于编辑距离的短读序列图新算法。研究成果于2025年4月在生物信息领域著名期刊《Bioinformatics Advances》上发表,题为《Construction of edit-distance graphs for large sets of short reads through minimizer-bucketing》。
在短序列数据集中,编辑距离较小的短序列对及其对应的唯一分子标记(UMI)常用于纠正测序过程中在短序列或UMI中产生的错误碱基。然而,由于列出所有编辑距离较小的序列对的计算复杂度为平方级,对于包含上千万条序列的大规模数据集,该过程在计算上极为不现实。为降低时间复杂度,很多方法提出了最小化器分桶(minimizer bucketing)和局部敏感哈希(locality-sensitive hashing, LSH)方法,将相似序列聚类到同一分桶中,并在每个分桶内识别编辑距离较小的序列对。尽管这些方法在效率上取得一定成效,但在提升序列关系识别的全面性、优化分桶参数,以及探索多种分桶方式的组合以提高序列对检测的完整性方面仍面临挑战。
本研究首次提出为一个短序列集合构建基于编辑距离的序列图的方法,其中每个节点表示一个短序列,边表示两个序列之间的编辑距离低于设定的阈值。我们首次提出了一种启发式算法 reads2graph,以便高效、全面地检测这些边关系。该方法第一步使用最小化器分桶策略聚类相似序列,在此基础上引入改进的 Order-Min-Hash 技术对分桶后的大桶进行进一步细化,并设计了一种新颖的图邻域多跳遍历机制,以便于在无法划分为小桶的大桶中挖掘更多潜在的边关系。实验结果表明,reads2graph 在绝大多数测试中可实现 97% 至 100% 的边完整性,同时在运行速度上远超暴力方法。与现有的单一分桶方法(如 Miniception 或传统的 Order-Min-Hash)相比,reads2graph 在运行效率与检测完整性之间实现了更优的平衡,展现出在大规模短序列分析中的显著优势和应用潜力。
本文通讯作者为李金艳教授,第一作者是李教授在澳大利亚悉尼科技大学的博士研究生平朋要。
4.原文链接

5.成果示意图

reads2graph 在八个数据集
不同预设区间内识别边的完整性阶段性表现

成果四
合成生物学院与未来农业研究院
1. 成果名称
Plant synthetic biology-based biofortification, strategies and recent progresses
2. 成果简介
近日,深圳理工大学合成生物学院及未来农业研究院王凯副研究员与刘重持教授团队在JIPB发表题为“Plant synthetic biology-based biofortification, strategies and recent progresses”的综述论文 (https://doi.org/10.1111/jipb.13934),系统梳理了合成生物学策略指导下的植物营养强化思路,并以维生素B1生物强化为核心案例,提出具有前瞻性的下一代作物营养提升路径。
3. 研究团队及具体成果介绍
2025年5月21日,深圳理工大学合成生物学院及未来农业研究院王凯副研究员与刘重持教授团队在JIPB发表题为“Plant synthetic biology-based biofortification, strategies and recent progresses”的综述论文 (https://doi.org/10.1111/jipb.13934),系统梳理了合成生物学策略指导下的植物营养强化思路,并以维生素B1生物强化为核心案例,提出具有前瞻性的下一代作物营养提升路径。刘重持教授课题组长期从事野生草莓分子遗传和果实发育领域的研究,拟开发以草莓为合成生物学新型“底盘植物”的系统和构建功能性草莓新种质。
论文总结了五大合成生物学核心策略:1) 内源基因过表达,通过增强关键合成酶表达提升代谢通量;2) 异源通路引入,借助外源性合成通路的重构实现功能性代谢物的合成与高表达;3) 转运蛋白表达,实现养分在可食用部位的精准积累;4) 转录调控优化,通过转录因子增强、启动子工程或增强子插入等非转基因的方式提升基因表达量;5) 蛋白 (定向) 进化,结合AI与基因编辑技术优化关键限速酶功能,突破天然酶活性限制 (图1)。
在未来展望中,该研究提出四大发展方向:拓展“植物底盘”,重点关注草莓、番茄等易转化、可生食的新型合成生物学“底盘植物”;推进多基因通路的CRISPR多靶点协同编辑;运用AI赋能的蛋白工程方法进行高通量筛选与催化性能优化;并推广非转基因编辑策略,突破监管限制,提升产业化可行性。该研究指出,随着全球功能性食品市场规模预计将在2032年达到5971亿美元,精准、天然、安全的植物营养强化将成为未来营养科技的关键支柱。
4.原文链接

5.成果示意图


成果五
生命健康学院
1. 成果名称
Asparagine endopeptidase cleaves apolipoprotein A1 and accelerates pathogenesis of atherosclerosis.
2. 成果简介
该研究揭示了动脉粥样硬化过程中,天冬酰胺内肽酶激活并剪切载脂蛋白A1加速斑块形成的作用机制。
3. 研究团队及具体成果介绍
2025年5月15日,深圳理工大学生命健康学院叶克强教授在《Journal of Clinical Investigation》上发表了题为“Asparagine endopeptidase cleaves apolipoprotein A1 and accelerates pathogenesis of atherosclerosis”的研究成果。
首先,研究者发现ApoE-/-小鼠斑块和肝脏中的AEP活性均显著升高。在ApoE-/-小鼠的基础上敲除AEP,可以显著降低主动脉斑块的生成,降低总胆固醇和高密度脂蛋白胆固醇含量。查阅文献发现,主动脉患病斑块中存在以天冬酰胺(N)结尾的APOA1剪切肽段(AEP特异性剪切在N的末端),因此我们猜想AEP可能剪切了HDL的关键组成蛋白APOA1。
通过体外共孵育,细胞共转实验,确认了AEP对APOA1的剪切作用。通过LC-MS/MS测序及氨基酸突变,解析出AEP剪切的位点为第208位的天冬酰胺。且实验表明剪切后的APOA1片段丧失转运胆固醇的能力。通过制备特异性识别APOA1 N208肽段的抗体,研究者在动脉粥样硬化小鼠模型及患者斑块中均表征到APOA1 1-208的剪切片段。通过尾静脉注射AAV-control,AAV-APOA1或AAV-APOA1 N208A(将208位的天冬酰胺突变为丙氨酸,使得APOA1不能被AEP剪切)病毒,研究者发现APOA1突变蛋白的表达可以更好的缓解动脉粥样硬化的进展。#11a是研究者团队研发的AEP小分子抑制剂,ApoE-/-小鼠饲喂#11a可显著缓解小鼠的动脉粥样硬化进程。
通讯作者为叶克强教授和杨细飞教授,第一作者为中科院先进院王蒙蒙。
4.原文链接

5.成果示意图


成果六
生命健康学院
1. 成果名称
Neuronal C/EBPβ Shortens the Lifespan via Inactivating NAMPT.
2. 成果简介
证实了C/EBPβ/AEP通路通过作用于NAMPT影响NAD+合成从而介导生理性衰老和寿命缩短表型,AEP基因的敲除、表达NAMPT剪切位点突变体或AEP的小分子抑制剂#11a则能有效延缓Thy 1-C/EBPβ转基因小鼠的早衰表型。
3. 研究团队及具体成果介绍
深圳理工大学生命健康学院叶克强团队在《Advanced Science》上发表了标题为《Neuronal C/EBPβ Shortens the Lifespan via Inactivating NAMPT》的研究成果。
该研究系统揭示了C/EBPβ/AEP信号通路在脑衰老进程中的关键调控作用。首先,该团队通过比较分析发现,C/EBPβ/AEP信号通路在人类和小鼠海马神经元中呈现显著的年龄依赖性激活特征。为明确该通路是否介导脑衰老,该团队构建了神经元特异性表达Thy1-C/EBPβ的转基因小鼠模型,并与AEP基因敲除小鼠杂交。实验结果显示,Thy1-C/EBPβ Tg/Tg小鼠表现出显著的早衰表型,包括寿命缩短、衰弱指数增加以及年龄相关的认知功能损伤,而这些表型在AEP敲除背景下得到明显改善。机制上,AEP能够特异性切割催化烟酰胺合成NAD+最重要的限速酶NAMPT蛋白的N136位点,从而抑制这一NAD+生物合成限速酶的活性,导致NAD+水平下降。他们将过表达AEP切割位点突变体NAMPT(N136A)的AAV病毒注射到1月龄的Thy 1-C/EBPβ Tg/Tg小鼠的海马区。分析显示通过阻断AEP对NAMPT的切割可有效逆转神经元C/EBPβ过表达引起的年龄相关的功能衰退。在治疗干预方面,给予1月龄Thy1-C/EBPβ Tg/Tg小鼠口服NAD+前体NMN(300 mg/kg)或AEP特异性抑制剂#11a(7.5 mg/kg)均能显著延长寿命并改善运动认知功能,其中#11a在提升NAD+水平和治疗效果方面均显著优于NMN。这些发现不仅阐明了C/EBPβ/AEP-NAMPT-NAD+轴在脑衰老中的重要调控作用,更为开发靶向AEP的抗衰老干预策略提供了重要理论依据。通讯作者为叶克强教授,第一作者为中国科学院大学博士生李博维。
4.原文链接

5.成果示意图


成果七
细胞与基因技术研究院
1. 成果名称
Decoding 4-vinylanisole biosynthesis and pivotal enzymes in locusts
2. 成果简介
首次系统解析蝗虫群聚信息素 4VA 的合成途径,鉴定关键酶并开发小分子抑制剂,实现对蝗虫群聚行为的精准调控,为害虫绿色防控开辟新路径。
3. 研究团队及具体成果介绍
2025 年 6 月 25 日,深圳理工大学康乐团队与北京大学雷晓光团队合作的研究成果在国际顶级学术期刊《自然(Nature)》在线发表。
该研究成功解码蝗虫群聚信息素 4-乙烯基苯甲醚(4VA)的生物合成机制,并实现对蝗虫群聚行为的人工干预,为农业害虫绿色防控带来新突破。昆虫信息素在昆虫行为调控中意义重大,但特定信息素生物合成途径的完整揭示鲜见报道。康乐团队于 2020 年证实 4VA 是飞蝗的聚集信息素,此次合作进一步深入探索 4VA 的合成通路。研究人员确定 4VA 的合成底物为植物来源的苯丙氨酸,通过饲喂或注射稳定同位素标记的候选中间体,明确了 4VA 的合成通路:苯丙氨酸依次经过肉桂酸、对羟基肉桂酸、4-乙烯基苯酚,最终生成 4VA ,且部分转化过程借助植物源中间体,体现了蝗虫高效节能的合成策略。
研究还发现,群居型和散居型飞蝗 4VA 合成差异的关键在于 4VP 到 4VA 的转化,由甲基转移酶 4VPMT1 和 4VPMT2 控制,它们是 4VA 生物合成的分子开关,其表达受种群密度影响。通过解析 4VPMT2 - 4VP - SAM 三元复合物晶体结构及相关实验,明确了底物与酶的结合机制。基于上述发现,研究团队设计并筛选出小分子抑制剂 4 - 硝基苯酚(4NP)。4NP 能以极低浓度抑制 4VPMT1 和 4VPMT2,通过竞争性结合酶活性位点,阻断 4VA 合成。实验表明,4NP 能显著降低蝗虫 4VA 释放量,使群居蝗虫向散居行为转变,且对散居蝗虫群聚化处理也有抑制作用。
该研究深度揭示了昆虫化学通讯的分子机制,为害虫防控提供了不依赖传统化学农药的全新策略,推动了害虫防控模式向精准化、绿色化转变,在保障粮食安全和生态环境方面具有重要意义。
中国科学院动物研究所郭晓娇、北京大学高磊、中国科学院动物研究所博士生李世炜为论文共同第一作者,深圳理工大学康乐院士与北京大学雷晓光为共同通讯作者。众多科研人员参与研究,该工作得到国家自然科学基金项目、国家重点研发计划和新基石基金会等支持。
4.原文链接

5.成果示意图


成果八
生命健康学院
1. 成果名称
Immunotherapy Against Tau Fragment Diminishes AD Pathology, Improving Synaptic Function and Cognition
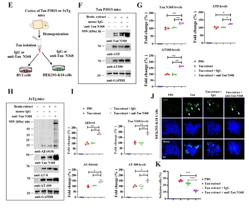
2. 成果简介
靶向病理Tau片段N368的免疫疗法在小鼠模型中不仅清除Tau缠结,还同步改善Aβ沉积、激活神经营养信号并逆转认知损害,为AD精准治疗提供了全新方向。
3. 研究团队及具体成果介绍
深圳理工大学生命健康学院叶克强团队、空军军医大学武胜昔教授团队在《Molecular Neurodegenration》上发表了标题为《 Immunotherapy Against Tau Fragment Diminishes AD Pathology, Improving Synaptic Function and Cognition》的研究成果。
本研究在小鼠模型中证实Tau N368单克隆抗体疗效显著,具临床应用潜力。它锁定阿尔茨海默病“沉默期”干预窗口,其脑脊液中Tau N368与t-Tau比值比传统标志物更优,能早反映病理负荷且关联损伤程度。研究支持分阶段精准治疗策略,且Tau N368清除可减轻Aβ病理,为组合疗法提供思路。实验小鼠血浆Tau N368水平与脑内病理清除呈负相关,有望成疗效监测标志物,助力精准评估与治疗调整。
综上所述,这项研究揭示了Tau病理的关键驱动因子,Tau N368的关键作用,提供了全新的治疗策略。研究团队正积极与多方机构展开合作,全力推动Tau N368单克隆抗体迈入I期临床试验,目标是为AD患者提供真正能够改变疾病进程的修饰疗法。
通讯作者为叶克强教授,共同通讯作者为武胜昔教授,空军军医大学项捷副教授、中国科学院深圳先进技术研究院钱政江副研究员、空军军医大学席烨副研究员为论文的共同第一作者。
4.原文链接

5.成果示意图


成果九
生命健康学院
1. 成果名称
VIRMA-mediated m6A modification regulates forebrain formation through modulating ribosome biogenesis.
2. 成果简介
揭示了m6A甲基转移酶复合物的核心支架蛋白VIRMA通过调控核糖体生成影响大脑发育的机制。
3. 研究团队及具体成果介绍
2025年6月28日,深圳理工大学生命健康学院周涛团队与合作者在Science Advances发表题为“VIRMA-mediated m6A modification regulates forebrain formation through modulating ribosome biogenesis”的研究论文,首次揭示m6A甲基转移酶复合物的核心支架蛋白VIRMA通过调控核糖体生成影响大脑发育的机制。
在生命科学领域,RNA表观遗传修饰尤其是N6-甲基腺苷(m6A)修饰,已成为调控基因表达的关键机制。这种真核生物mRNA中最普遍的化学修饰,由甲基转移酶复合体(writer complex)催化完成,其核心组分VIRMA(Vir like m6A methyltransferase associated)作为进化保守的最大支架蛋白,在胚胎大脑和多种癌症中高表达。尽管已知m6A参与mRNA代谢全过程,但其如何动态调控蛋白质合成机器以适应组织发育需求,仍是未解之谜。尤其在大脑发育过程中,神经前体细胞(NPCs)需要高效合成蛋白质支持其快速增殖,但这一过程的具体调控机制尚不明确。研究人员通过构建Emx1-Cre介导的VIRMA条件性敲除(cKO)小鼠模型,结合液相色谱-串联质谱(LC-MS/MS)、甲基化RNA免疫共沉淀测序(MeRIP-m6A-seq)、多聚核糖体图谱分析等关键技术,系统揭示了VIRMA通过维持m6A修饰水平调控核糖体生物合成,进而影响大脑发育的分子机制。
4.原文链接

5.成果示意图


成果十
算力微电子学院
1. 成果名称
Construction of edit-distance graphs for large sets of short reads through minimizer-bucketing.
2. 成果简介
针对资源受限的物联网设备中常用的SM2数字签名算法(SM2-DSA),创新性地提出了一种基于格理论的高效故障注入攻击方法。该方法通过非精确故障注入和中间值分析,实现了对SM2-DSA私钥的快速破解,同时建立了相应的理论安全边界,为算法安全防护提供了重要指导。
3. 研究团队及具体成果介绍
深圳理工大学算力微电子学院邵翠萍副教授团队在ACM Transactions on Embedded Computing Systems发表了最新研究成果。该研究针对国密SM2-DSA算法的安全实现问题,创新性地将故障注入攻击与格理论相结合,提出了一套完整的组合攻击方法与防御策略。
研究主要包含三个关键创新点:
首先,团队发现了SM2-DSA在签名过程第四步前对随机数(nonce)值注入故障的安全漏洞。通过分析签名和验证过程中获取的正确和错误中间值,实现了对nonce值部分比特位的恢复。该方法突破了传统故障攻击需要精确时空控制的限制,可以显著提高攻击成功率。
其次,研究团队创新性地构建了针对SM2-DSA的格攻击模型。基于推测的nonce部分比特信息,该模型能够高效恢复出完整的私钥。对于256位SM2-DSA算法,仅需61个签名(其中nonce已知6个比特位)即可在3秒内完成私钥恢复,1000次试验的成功率达到100%。这一突破性成果揭示了SM2-DSA实现中潜在的安全漏洞,为算法安全防护措施的优化提供了重要参考。
最后,团队还提出了针对此类攻击的防御对策,为SM2-DSA的安全实现提供指导。
4.原文链接

5.成果示意图

针对国密SM2算法的基于格理论的新型故障注入攻击方法


来源:科研产业处
责编:龚琬淇
审校:张赢、李韵、王之康

为SUAT点个赞和在看吧
高招云直播